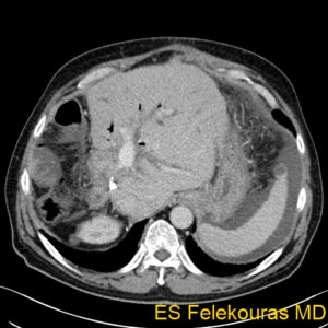
Τα ήπαρ ένα όργανο με πολλές λειτουργίες και έχει διάφορα νοσήματα και αρκετά από αυτά ιώνται με την Χειρουργική του ήπατος. Η συνηθέστερη επέμβαση που γίνεται στο συκώτι (ήπαρ) είναι η ηπατεκτομή (αφαίρεση ενός τμήματος του ήπατος) (εικόνα 1). Η πιο χαρακτηριστική ένδειξη για ηπατεκτομή είναι ένας κακοήθης όγκος. Όγκοι του ήπατος μπορεί να είναι πρωτοπαθείς (που αναπτύχθηκαν στο ήπαρ) ή μεταστατικοί (αναπτύσσονται σε άλλο όργανο, και κατόπιν μετανάστευσαν (μεθίστανται) στο ήπαρ). Ο πιο συχνός πρωτοπαθής κακοήθης όγκος του ήπατος είναι το ηπατοκυτταρικό καρκίνωμα (ηπάτωμα η ΗΚΚ), και μετά το χολαγγειοκαρκίνωμα (CCA). Η πλειοψηφία των ηπατικών μεταστάσεων έρχονται από το παχύ έντερο (mCRC). Γενικά η επιβίωση των ασθενών με κακοήθεις όγκους του ήπατος έχει βελτιωθεί τα τελευταία 20 χρόνια και στην πατρίδα μας, και εάν ο όγκος είναι ένας (μονήρης) ή περισσότεροι από ένα όγκοι αλλά περιορίζονται είτε στην αριστερά είτε στην δεξιά πλευρά του ήπατος μπορεί με την ηπατεκτομή να εχουμε 5-ετή επιβίωση που φθάνει και το 60%.
Ηπατεκτομή

Οι ασθενείς υποψήφιοι για ηπατεκτομή αξιολογούνται προσεκτικά από μια πολλαπλών ειδικοτήτων ομάδα για να εξασφαλισθεί η απουσία εξωηπατικής νόσου (έξω από το συκώτι). Οι ηπατεκτομές που γίνονται σε ασθενείς με εξωηπατική νόσο μπορούν μόνο να ανακουφιστούν από τα συμπτώματα που προκαλούνται από τον όγκο, αλλά προσφέρουν λίγη βελτίωση στην επιβίωση.
Οι ασθενείς με καλοήθεις όγκοι του συκωτιού (κύστεις, αδένωμα, αιμαγγείωμα κα) μπορούν επιτυχώς να θεραπευτούν από τα συμπτώματα τους με κάποιου είδους ηπατεκτομή. Εάν η θέση ενός καλοήθους όγκου είναι επιφανειακή και μικρή στο μέγεθος, η ηπατεκτομή μπορεί να γίνει λαπαροσκοπικά.
Μια ηπατεκτομή διαρκεί περίπου 3-5 ώρες και μπορεί να γίνει χωρίς την ανάγκη για μετάγγιση αίματος. Μέχρι 75% του ήπατος μπορεί να αφαιρεθεί χωρίς μεγάλους κινδύνους. Η παραμονή στο νοσοκομείο είναι περίπου 5-10 ημέρες και η πλήρης αποκατάσταση έρχεται σε 5-6 εβδομάδες. Το ήπαρ ξαναπαίρνει το μέγεθος του (σε μη κιρρωτικούς ασθενείς) σε 6-8 εβδομάδες. (εικόνα 2).
Επιπλοκές
Η αιμορραγία είναι η πιό σπουδαία τεχνική επιπλοκή που μπορεί να υπάρξει και να χρειαστεί επανεγχείρηση. Άλλη επιπλοκή είναι το χοληφόρο συρίγγιο που είναι επίσης μια πιθανή επιπλοκή που όμως σπάνια χρειάζεται επανεγχείρηση. Οι πνευμονικές επιπλοκές όπως η ατελεκτασία και η πλευριτική συλλογή είναι συχνές και λιγότερο επικίνδυνες γενικά για τους ασθενείς είναι όμως σοβαρές για ασθενείς με χρόνια αναπνευστικά προβλήματα. Η μόλυνση (διαπύηση) του χειρουργικού τραύματος είναι σχετικά σπάνια. Η ηπατική ανεπάρκεια μετεγχειρητικά είναι ένας σημαντικός κίνδυνος για ασθενείς με εκτεταμένες ηπατεκτομές η/και κίρρωση του ήπατος και λιγότερο για αυτούς που έχουν υποβληθεί προηγουμένως σε συστηματική χημειοθεραπεία για μεταστατικό καρκίνο του ήπατος.
Στόχος μας
Ο στόχος μας είναι να παράσχουμε όλες τις υπηρεσίες που ένας ασθενής χρειάζεται για τη θεραπεία του καρκίνου του Συμπλέγματος ΗΠΧ , πρωτοπαθούς η μεταστατικού από το παχύ έντερο και το ορθό όπως και άλλους από τον μαστό το μελάνωμα κα. Έτσι στο ΓΝΑ ΛΑΙΚΟ προσφέρουμε στους ασθενείς μας μια πολλαπλών ειδικοτήτων ομάδα έτσι ώστε προβλήματα του ήπατος, της χοληδόχου κύστεως και του χοληδόχου πόρου (από καρκίνο και άλλες παθήσεις) μελετούνται και θεραπεύονται ανάλογα. Εχουμε μεγάλη εμπειρία στην θεραπεία του χολαγγειοκαρκινώματος και στην θεραπεία του καρκίνου της χοληδόχου κύστεως και στην θεραπεία του μεταστατικού καρκίνου. Επιπλέον, προσφέρουμε νέες χειρουργικές επεμβάσεις και άλλες θεραπεία για να χειριστούμε τους καλοήθεις όγκους του ήπατος.

